世良情感网
杨胡子的文章
一个典型的哮喘而不自知的病人案例,母亲急出一头汗,问我怎样治愈 今天门诊遇到一个
2026-02-01 21:05
尼帕病毒(NiV)致死的核心原因是致命性脑炎与急性呼吸窘迫综合征(ARDS) 两
2026-01-29 08:05
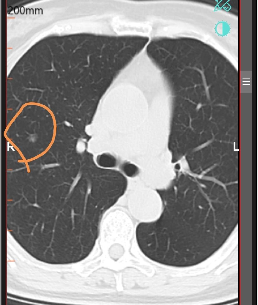
肺部结节有一部分是恶性的,这一小部分恶性结节导致每一个结节患者都很焦虑,肺结节如
2026-01-27 22:05
今天早上起来一阵心慌,我就知道世界上有事发生,果然印度又爆发了病毒感染。死亡率高
国际
2026-01-27 16:04
特发性肺纤维化免费干细胞治疗开始筛选入组 特发性肺纤维化是一种结构破坏性肺部疾病
2026-01-27 10:04
肺结节术后反复咳嗽?这些原因要分清 肺结节术后咳嗽是临床常见现象,多数患者会在术
2026-01-22 12:03
肺部结节若为肺癌,会有这些“危险变化” 在临床诊疗中,肺部结节是呼吸科常见的“信
2026-01-22 11:03
肺腺癌EGFR L858突变:三代靶向药耐药后,换药之路该怎么走? 作为呼吸科医
2026-01-22 11:03
下大雪尤其要关注的几个呼吸健康问题,一不小心就会造成严重损害 下雪天空气寒冷,而
2026-01-20 11:03
刚刚一个老乡虚惊一场,本来以为要住院检查,结果没什么大问题 肺癌是人人都害怕的问
2026-01-20 10:03
肺部结节多数是良性,为什么还有很多人害怕,问题出在少数当中 肺部结节是很多人的噩
2026-01-19 13:03
肺部病灶为什么多数无法完全消掉,有些人肺CT报告上终生有慢性炎症 肺是一次性的器
2026-01-19 13:03
在国内啊,生什么病都要问什么能吃什么不能吃。这个问题呢其实非常的个体化。网上流行
2026-01-16 10:03
今天的雾霾特别严重,我记得十几年前有过这样的情况,站在病房楼上看不到对面复旦大学
2026-01-16 09:03
烟卷里的“慢性毒药”:医生带你看清慢阻肺的形成真相 一、门诊惊魂:30 年烟龄,
2026-01-14 17:03
当呼吸受阻,心脏何以负重?——慢阻肺如何一步步“拖累”心脏 作为呼吸科专家,我们
2026-01-14 17:03
中晚期肺癌不要气馁,治疗后再做手术也有可能根治,肺癌治疗,要想根治首推手术。但有
2026-01-12 14:02
被误诊20年,到我这里来看的时候才找出了真正的病因。其实像他这样的案例并不止他一
2026-01-12 13:02
晚期肺癌到底有没有根治的案例,可以说这世界上任何事情都有例外,普遍认为晚期肺癌不
2026-01-11 18:02
两个月之前接诊了一个可怜的孩子,他爸爸是个老实人,整天满脸愁容,没少为这个孩子操
2026-01-11 18:02
第一页
下一页
杨胡子
感谢大家的关注
热门分类
推荐
热榜
军事
NBA
体育
社会
明星八卦
娱乐
财经
科技
汽车
历史
国际
游戏
动漫
公益
搞笑
商业
互联网
数码
国际足球
房产
家居
时尚
科学探索
职场
育儿
股票
教育
影视
情感
热点
中国军情
武器
中国南海
中国足球
亚洲杯
科比
综合体育
CBA
投资
大咖秀
外汇
创业
风口
SUV
豪车
概念车
优惠
新能源
美国
欧洲
朝日韩
俄罗斯
孕期
街拍
婚姻
正能量