世良情感网
沮授看健康的文章
才知道,看完演唱会后很多人手机摄影头会损伤,发生率很高![笑cry][笑cry]
2025-11-08 13:50
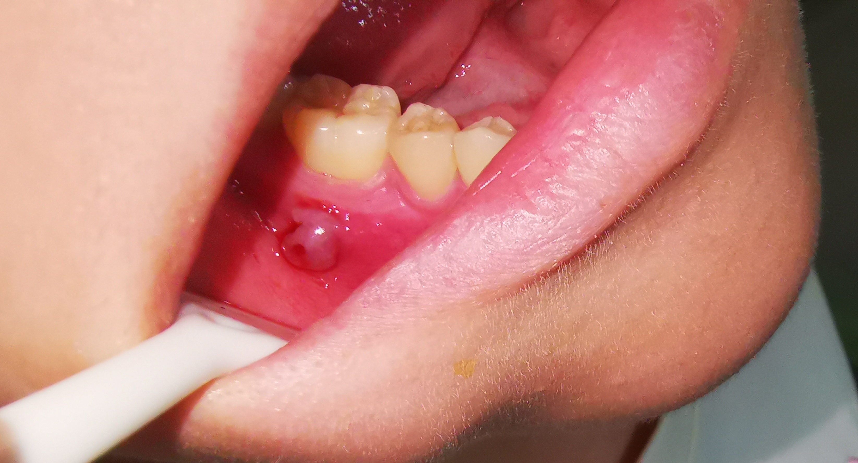
这不是脓包,是牙源性皮窦,外科手术没用的,得处理病灶牙,否则复发率100%口腔科
2025-11-08 15:09
刚接诊一位口腔体检的女士,牙齿排列整齐,没有智齿,没有龋齿,而且没有牙结石,实在
2025-10-25 10:46
看到了最新版口腔收费立项指南正式落地,新疆第一个执行。根管似乎还行,拔牙彻底玩蛋
2025-10-22 20:51
打车,老司机一边开车一边听数学课,问他为啥对这个感兴趣,答道:“回家好辅导孙子作
2025-09-28 20:26
:《显微可视口镜,终于量产上市了!》
2025-09-20 13:20
口腔放射今日开始调价了,全国统一下调了。大家现在的牙片,曲断,CT分别是什么价?
2025-09-15 09:16
现在的有些高中太缺德了,下午放学只给二十多分钟吃饭时间,然后马上开始晚自习,迟到
教育
2025-08-26 14:56
是不是现在很多学校都有一个“表白墙”的QQ号?而且几乎所有学生都会加上,学校的什
教育
2025-08-22 14:43
最近,泰康、人保等等公司在医院各科室密集推广业务,很多人都办了,我也办了个人养老
财经
2025-08-21 14:43
第一眼看过去,你的诊断会是什么?口腔科普
2025-08-18 20:55
多少人朋友圈收到过这种推送?是真的吗?[允悲]
2025-08-18 15:30
唉,现在高中生也喜欢这些玩意儿!
2025-07-29 18:47
舌神经断裂的可能性很小了。口腔科普
2025-07-27 20:42
公立医院也卷起来了。[泪]
2025-07-21 12:27
家里有人得了牙周病,跟他一起吃饭,我会被传染吗?答案是——有可能,但别急着把筷子
2025-06-25 18:42
每天刷牙却还是蛀牙?你刷对了吗?根据《第四次全国口腔健康流行病学调查》:在35~
2025-06-24 17:41
牙膏真能美白吗?市场上主流的美白牙膏采用的美白因子主要分为哪三类?看过我科普书的
2025-06-23 19:40
每天刷牙,怎么还是长黑点黑线?:“牙医拿金属钩子勾一勾咬合面发黑的地方,钩子进得
2025-06-20 19:41
孕妇牙痛难忍,临生产了前来就诊,学生给她做了一次根管治疗,迅速止痛。嘱一周后如果
2025-06-20 13:39
第一页
下一页
沮授看健康
感谢大家的关注
热门分类
推荐
热榜
军事
NBA
体育
社会
明星八卦
娱乐
财经
科技
汽车
历史
国际
游戏
动漫
公益
搞笑
商业
互联网
数码
国际足球
房产
家居
时尚
科学探索
职场
育儿
股票
教育
影视
情感
热点
中国军情
武器
中国南海
中国足球
亚洲杯
科比
综合体育
CBA
投资
大咖秀
外汇
创业
风口
SUV
豪车
概念车
优惠
新能源
美国
欧洲
朝日韩
俄罗斯
孕期
街拍
婚姻
正能量