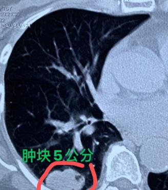
最近接诊的一个案例,让我心里特别不是滋味,想拿出来跟大家好好说说,希望能给更多人提个醒!患者是位76岁的老太太,10个月前体检的时候,查出右下肺有个1厘米的实性结节。 当地的医生就明确建议她尽快手术切除,可老太太一是害怕手术,二是平时没觉得有任何不舒服,就没把这个建议放在心上,总觉得“应该没什么大事”。 就这么拖着,一晃10个月过去了。直到最近,老太太开始频繁觉得胸闷,在儿女的反复劝说下,才不情不愿地来医院复查。一看到她的检查结果,我心里就咯噔一下,之前1厘米的小结节,已经长成了5厘米的大病灶。 不敢耽搁,立马安排老太太做了全身检查,万幸当时的结果显示没有出现远处转移。和家属、患者反复沟通商议后,我们确定了手术切除的治疗方案,本想着能通过手术彻底解决问题,可手术中出现的情况,还是超出了我们的预期。 打开胸腔后,我们发现她的胸膜和膈肌上,长了不少密密麻麻的小白点。凭着多年的临床经验,我瞬间就意识到,这是肿瘤长大之后,突破了胸膜,导致癌细胞在胸膜腔里播散转移了。当场做了活检冰冻病理,结果也证实了这个判断。 事已至此,我们还是按原计划切除了病变的肺叶,同时做了淋巴结清扫。现在只能寄希望于术后能找到合适的靶向药或者免疫药,通过后续的药物治疗帮她延长生命。 说真的,每次遇到这种因为拖延耽误治疗的案例,我都特别痛心。这里必须严肃提醒大家,查出肺实性结节,千万不能掉以轻心。 哪怕医生初步判断可能是炎症,也得按要求吃完消炎药,短期内及时复查确认情况。别总觉得自己身体没不舒服就没事,很多肺部病变初期都是悄无声息的,定期复查、遵医嘱治疗,才是对自己生命负责。[作揖][玫瑰]
