【#男子误吞鱼刺险要切肝保命#】半月前,37岁的李先生(化名)误吞鱼刺却未察觉,

钱江晚报 2025-10-22 13:02:31

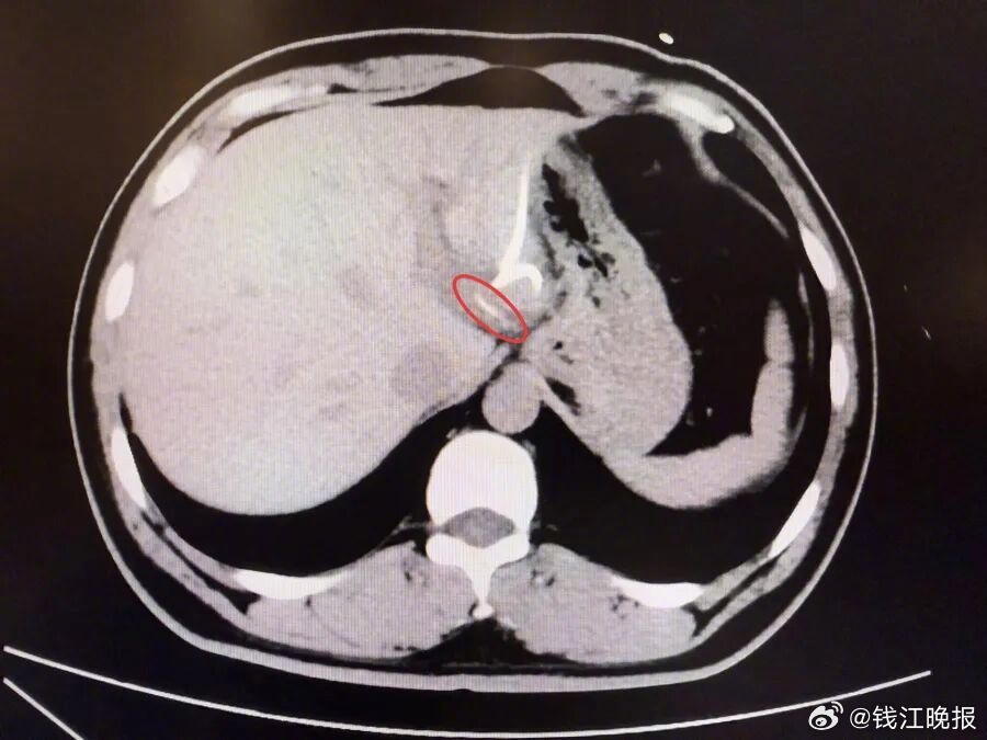
【#男子误吞鱼刺险要切肝保命#】半月前,37岁的李先生(化名)误吞鱼刺却未察觉,数天后出现腹痛、高热(达40℃)等症状,当地医院诊断为“肝脓肿”,治疗后症状反复,CT检查才发现肝脏左叶有鱼刺——其已穿透胃壁入肝引发感染,十分危险,当地医生评估后认为,要彻底清除异物,需要进行左半肝切除手术,这让李先生难以接受。

为寻求更精准、微创的治疗,李先生转至复旦大学附属中山医院内镜中心。“鱼刺位置非常凶险,就在贲门旁刺入左肝,紧贴大血管。”接诊的周平红主任指出,鱼刺位于贲门旁左肝处,紧贴大血管,且腹腔感染粘连严重,手术难度极高。

团队提出创新方案:通过胃镜在食道管壁夹层建隧道,让内镜“跨”胃壁入腹腔取刺。最终,历时3小时手术,医生分离粘连后顺利取出3.5厘米长鱼刺,全程无明显出血。

术后李先生恢复顺利,免于肝切除,保住肝脏功能。该手术为全球首例“内镜下经食管黏膜下隧道进腹肝异物取出术”。(来源:新闻坊、复旦大学附属中山医院)

0 阅读:57
钱江晚报

钱江晚报

钱江晚报官方账号